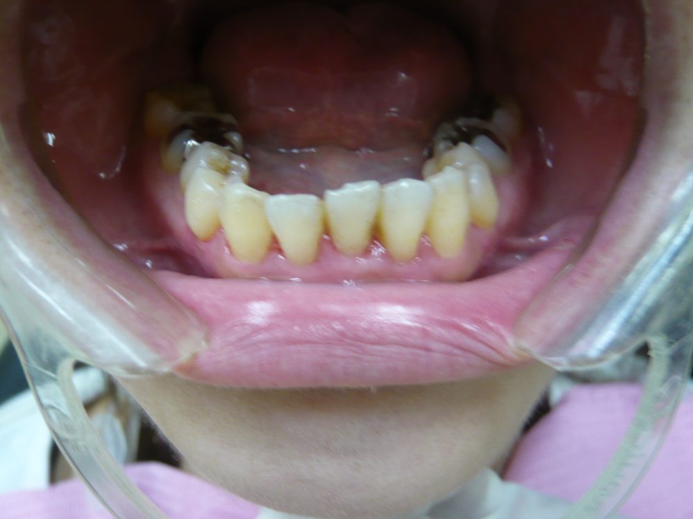
46歳 女性 1年1ヵ月
-
- 年齢
- 46歳
-
- 性別
- 女性
-
- 使用装置
- ブラケット、ワイヤー
-
- 治療期間
- 1年1カ月
こちらは上下1本ずつ抜歯をしております。
成人ですが1年1か月できれいになりました。
当院は原則「抜かない矯正」なのですが、顎模型、レントゲン、CT分析をし、
「この患者さんにとって、ベストな矯正は何か」
を考えた時、
「抜歯した方が良い結果が得られる」
と診断した場合、歯を抜くこともあるのです。
この方も大変満足していただきました。
通院回数 月に1~2回
治療による副作用の可能性 歯根吸収、顎関節症
今回は副作用出現せず
費用 65万円(税抜き)抜歯費用含む
平木歯科・矯正歯科 ☏ 03-3854-0900





















