代表的な症例矯正治療

代表的な症例と当院での治療例です。

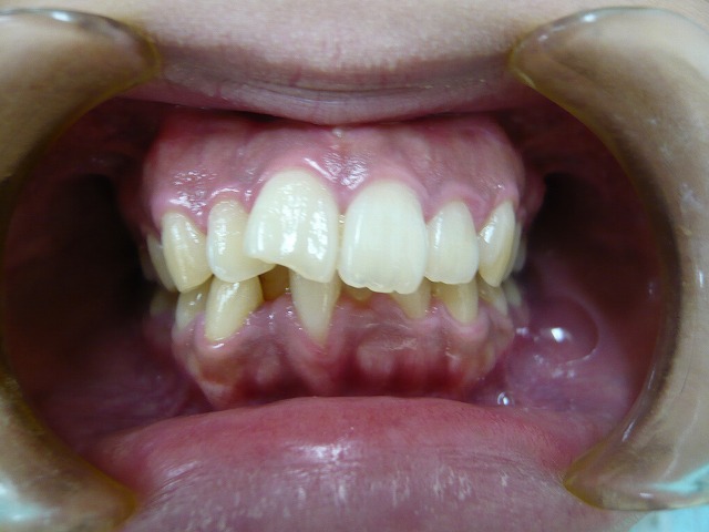
叢生(でこぼこ)

14歳 男の子 治療期間8か月

治療前

治療後

治療前

治療後

 


上顎前突(出っ歯)

24歳 女性 治療期間10か月

治療前

治療後

治療前

治療後


下顎前突(受け口)

8歳 男の子 治療期間2か月半

治療前

治療後

治療前

治療後


開咬・捻転(かいこう・ねじれ)

7歳 男の子 治療期間2か月

治療前

治療後

31歳 女性 治療期間10か月

治療前

治療後


外科処置あり(抜歯・埋伏歯の掘り起こし等)

42歳 女性 治療期間9か月

抜歯前

抜歯後

治療後

 

 

年齢別の詳しい非抜歯矯正資料をさしあげます。
お気軽にお電話、WEBにてお問い合わせください。

医院外観

診療表

※矯正は日曜日の診療も可能です。

東京都足立区栗原4-22-10駐車場有

03-3854-0900

Maps

駐車場有

東京都足立区栗原4-22-10駐車場有


Maps


03-3854-0900

平木歯科

※矯正は日曜日の診療も可能です。