13歳 女の子 5年1か月
-
- 年齢
- 13歳
-
- 性別
- 女の子
-
- 使用装置
- ブラケット、ワイヤー、マルチファミリー
-
- 治療期間
- 5年1カ月
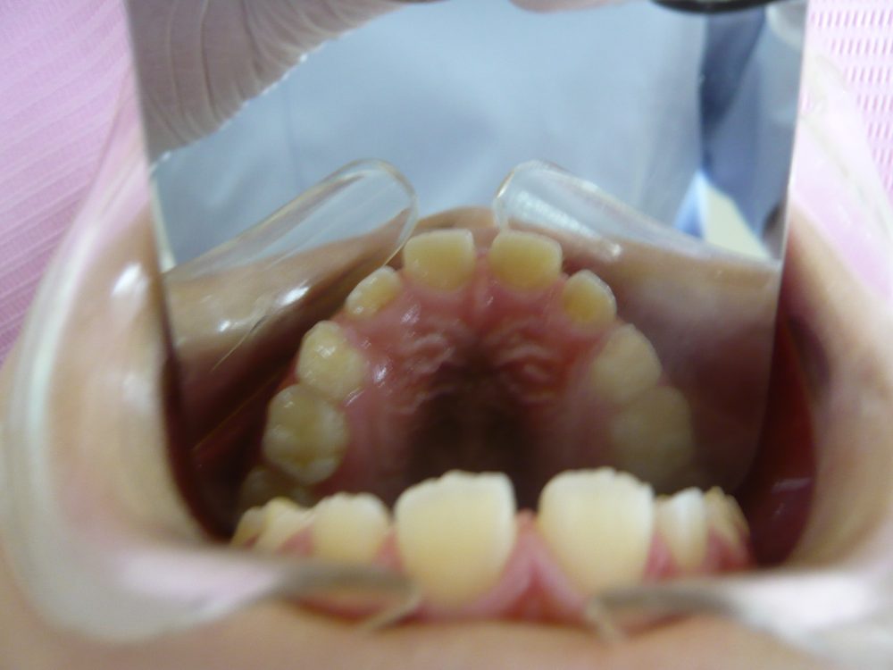
8歳から矯正を開始、成長も関係するため、マルチファミリーという顎機能矯正装置も使いました。
また、治療中に上顎左右犬歯がかなり上から生えてきてしまったため、長期間の矯正治療となりました。
最終的にはとてもきれいになり、患者さんにもお母さんにも大変喜んでいただきました。
通院回数 月に1~2回
治療による副作用の可能性 歯根吸収、ブラッシング不足による虫歯
今回は副作用出現せず
費用 45万円(税抜き)
平木歯科・矯正歯科 ☏ 03-3854-0900





























