矯正症例

26歳 女性 1年6か月

  • 年齢
    26歳
  • 性別
    女性
  • 使用装置
    ブラケット、ワイヤー
  • 治療期間
    1年6か月

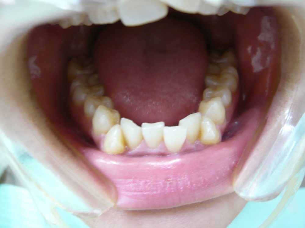
上下ともかなり乱れて生えていました。

こちらも歯を抜かずに矯正治療を行いました。

 

通院回数 月に1~2回

治療による副作用の可能性 歯根吸収、顎関節症

             今回は副作用出現せず

費用 63万円(税抜き)

平木歯科・矯正歯科  ☏ 03-3854-0900

治療前

治療前

治療前

治療前

治療後

治療後

治療後

治療後

医院外観

診療表

※矯正は日曜日の診療も可能です。

東京都足立区栗原4-22-10駐車場有

03-3854-0900

Maps

駐車場有

東京都足立区栗原4-22-10駐車場有


Maps


03-3854-0900

平木歯科

※矯正は日曜日の診療も可能です。