15歳 女の子 6か月
-
- 年齢
- 15歳
-
- 性別
- 女の子
-
- 使用装置
- ワイヤー、ブラケット
-
- 治療期間
- 6か月
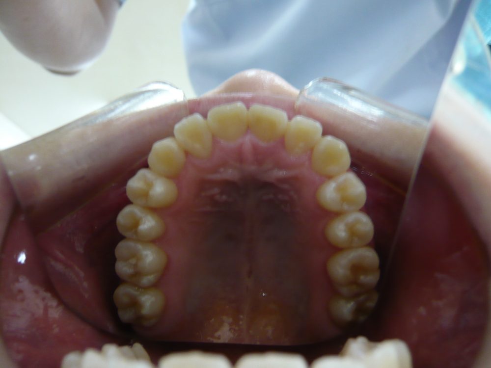
上顎左右の側切歯=小さい前歯 がねじれて生えています。
この捻転している歯を正しい方向に向けました。
捻転歯の場合、後戻りしやすいので、就眠時のマウスピースは必ず行うこと、と説明いたしました。
通院回数 月に1~2回
治療による副作用の可能性 歯根吸収
今回は副作用出現せず
費用 18万円(税抜き)
平木歯科・矯正歯科 ☏ 03-3854-0900

























