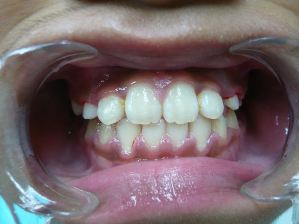
10歳 女の子 3か月半
-
- 年齢
- 10歳
-
- 性別
- 女の子
-
- 使用装置
- 顎機能矯正床装置ムーシールド、 ワイヤー、ブラケット
-
- 治療期間
- 3か月半
まず顎機能矯正床装置ムーシールドで骨格の位置を整えたあと、ブラケット、ワイヤーで一気に治しました。
骨が成長する力と、矯正力がマッチして、みるみる治すことができました。
ムーシールド、ブラケット、ワイヤーと、それぞれの材料の特性を最大限生かすことによって、良い結果をもたらすことができるのです。
後戻り防止のため、就眠時のマウスピース使用をお願いしました。
通院回数 月に1~2回
治療による副作用の可能性 歯根吸収、ブラッシング不足による虫歯
今回は副作用出現せず
費用 28万円(税抜き)
平木歯科・矯正歯科 ☏ 03-3854-0900























