歯をどこまで抜かずに治せるか
2024.11.21
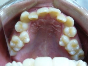
歯を抜かずにどこまで歯並びをきれいにできるのでしょうか。なかには、
「どうしても抜きたくない!」
という方もいらっしゃいます。
そのような方の希望を極力かなえるよう当院は努力いたします。
ちなみにこの写真の方も、歯を1本も抜かずにきれいにすることができました。
2024.11.21
歯を抜かずにどこまで歯並びをきれいにできるのでしょうか。なかには、
「どうしても抜きたくない!」
という方もいらっしゃいます。
そのような方の希望を極力かなえるよう当院は努力いたします。
ちなみにこの写真の方も、歯を1本も抜かずにきれいにすることができました。