東京都足立区栗原4-22-10
駐車場有
9:00 ~13:00、14:30 ~18:30
水・日・祝定休
東京都足立区栗原4-22-10
駐車場有
診療について
矯正治療
矯正治療について
代表的な症例
矯正費用
矯正Q&A
一般治療
一般歯科
口腔外科
予防歯科
歯周病
インプラント
義歯
小児歯科
審美・ホワイトニング
顎関節症・マウスピース
症状・お悩み別
インフォメーション
よくある質問
スタッフ募集
アクセス
診療について
矯正治療
矯正治療について
代表的な症例
矯正費用
矯正Q&A
一般治療
一般歯科
口腔外科
予防歯科
歯周病
インプラント
義歯
小児歯科
審美・ホワイトニング
顎関節症・マウスピース
症状・お悩み別
インフォメーション
よくある質問
スタッフ募集
アクセス
ホーム
矯正症例
矯正症例
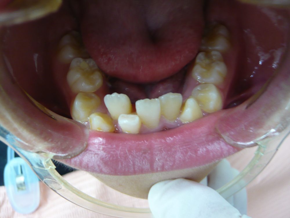
当院で行った治療をご紹介します。あくまで治療例です。個人差があります。
上顎前突(出っ歯)
18歳 男性 1年6ヶ月
14歳 女の子 1年8ヶ月
13歳 男の子 1年5か月
16歳 女性 9か月半
9歳 男の子 1年
9歳 男の子 11か月
21歳 男性 1年7か月
20歳 女性 2年10か月
22歳 女性 7か月
35歳 女性 2年2か月
下顎前突(受け口)
18歳 女性 7か月
24歳 女性 10か月半
8歳 男の子 2年
10歳 女の子 3か月半
13歳 女の子 2年6か月
7歳 女の子 3か月
12歳 女の子 8ヶ月
8歳 男の子 2か月半
叢生(でこぼこ)
15歳 男性 9か月
11歳 女の子 6か月半
19歳 男性 3年9か月
15歳 2年7か月 女の子
46歳 女性 1年1ヵ月
13歳 女の子 5年1か月
13歳 男の子 1年8ヶ月
26歳 女性 1年6か月
11歳 女の子 9か月
13歳 女の子 3年6か月
外科処置あり(抜歯・埋伏歯の掘り起こし等)
14歳 女の子 3年1カ月
14歳 女の子 2年3か月
13歳 女の子 1年5か月
15歳 女の子 2年6か月
11歳 女の子 11か月
12歳 女の子 3年2か月
12歳 女の子 8ヶ月
15歳 女の子 1年8ヶ月
42歳 女性 9か月
開咬・捻転 (かいこう・ねじれ)
16歳 女性 1年10か月
15歳 女の子 6か月
8歳 男の子 6か月
31歳 女性 10か月
7歳 男の子 2か月
矯正症例
叢生(でこぼこ)
上顎前突(出っ歯)
下顎前突(受け口)
開咬・捻転 (かいこう・ねじれ)
外科処置あり(抜歯・埋伏歯の掘り起こし等)
※矯正は日曜日の診療も可能です。
東京都足立区栗原4-22-10
駐車場有
東京都足立区栗原4-22-10
駐車場有
※矯正は日曜日の診療も可能です。